Səhiyyə
Xəstənin dizindən 41 "oynaq siçanı" çıxarıldı - FOTO
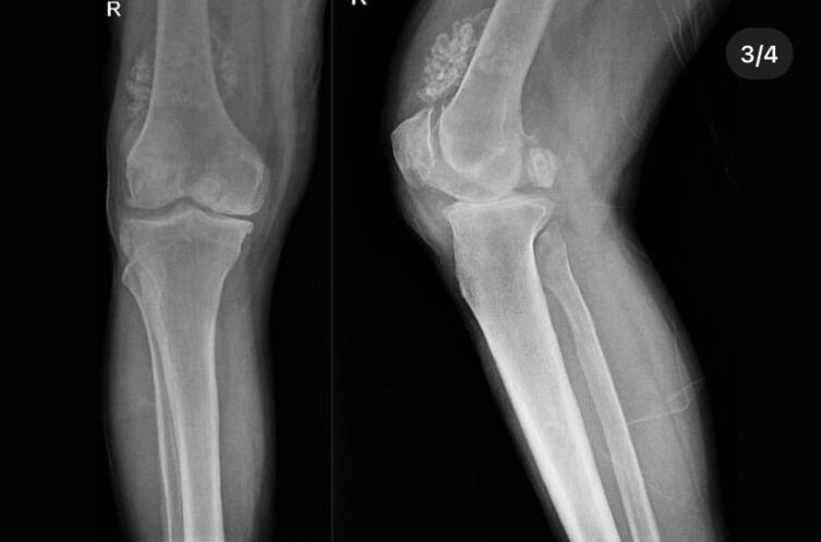
Türkiyənin Düzcə şəhərində bir xəstənin dizindən cərrahi yolla 41 "oynaq siçanı" (qığırdaq və ya sümük quruluşunun pozulması nəticəsində qırılan parçalar) çıxarılıb.
Publika.az xəbər verir ki, xəstəxanaya diz ağrısı şikayəti ilə müraciət edən xəstə müayinə olunub.
Müayinələr zamanı xüsusilə xəstənin diz oynağının ətrafında 41 "çox sinovial xondromatoz" halı aşkar edilib. Düzcə Universiteti Tibb Xəstəxanasında endoskopik üsulla edilən əməliyyatla xəstənin dizindən sözügedən hissələr çıxarılıb.

Dos. Dr. Zekeriya Okan Karaduman, Dos. Dr. Mehmet Arıcan və Dr. Müəllim Üzv Sönmez Sağlamın çıxardığı parçaların ölçülərinin bir neçə millimetr ilə santimetr arasında dəyişdiyi bildirilib.
Aysel Şahmar
-
Nida Xəbər 20:24Azərbaycanda hərbi xidmətdən yayınmaya görə cəzalara yenidən baxılacaq
-
Elm və təhsil20:1210 gün dərs olmayacaq - Tarixlər
-
Kriminal18:20Azərbaycanda 30 il əvvəl törədilmiş qətlin üstü açıldı - Meyiti boruda gizlədiblər
-
Qoroskop17:49Dünya xəritəsi yenidən çəkiləcək, bu ölkələr... - Məşhur ekstrasensdən sensasiyalı proqnoz
-
Sosial17:47Anar Bayramov daha iki yüksəkvəzifəli şəxsi işdən çıxardı
-
Sosial17:35Gənclər və İdman Nazirliyində 32 milyonluq yoxlama - Kimlərə artıq pullar ödənilib?
-
Səhiyyə15:30Bakıda bu poliklinikada şəkər xəstələrinə dərman verilmir - Səbəb nədir?
-
İdman14:42Neymarın başı dərddə: Tanınmış influenser onun hesabına niyə pul köçürüb? - FOTOLAR











.jpg)









.png)















